Before and After Gallery
-
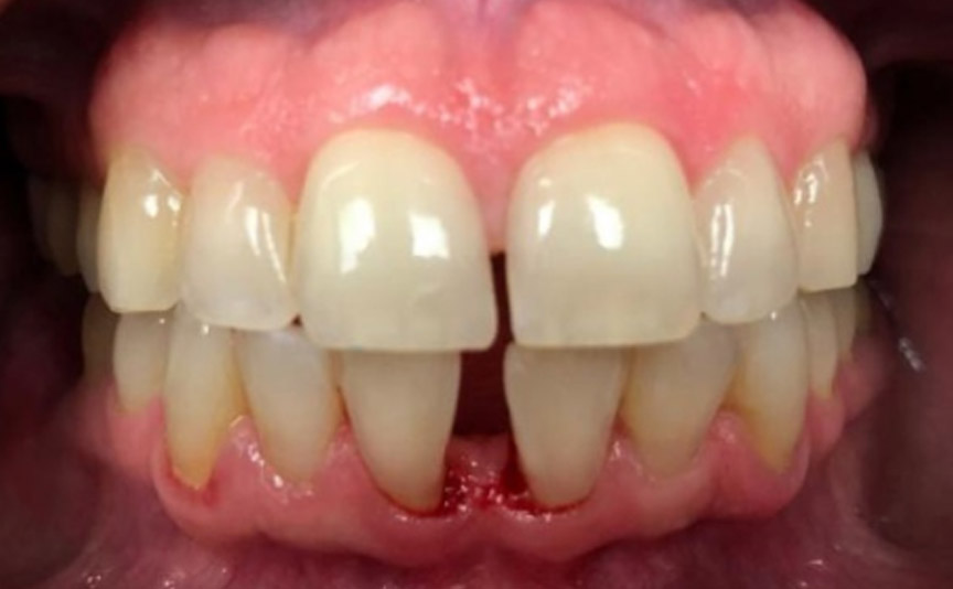
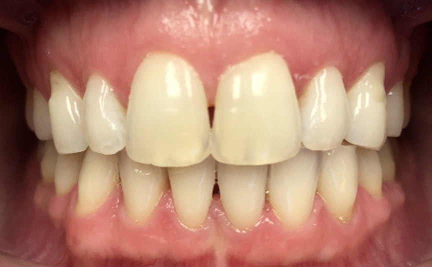
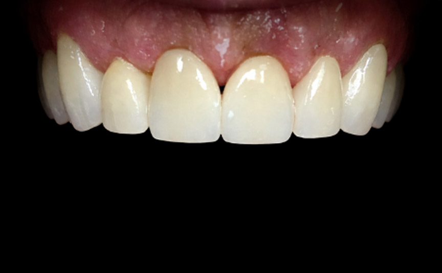
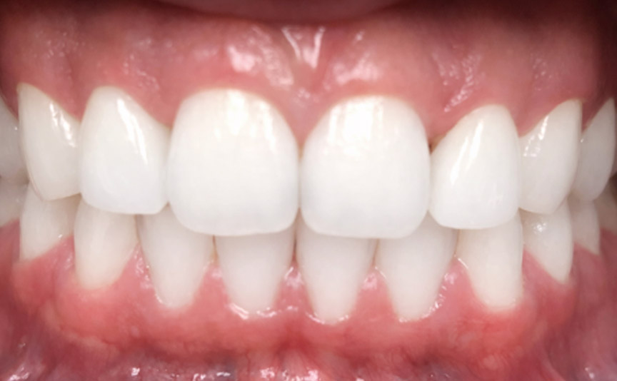
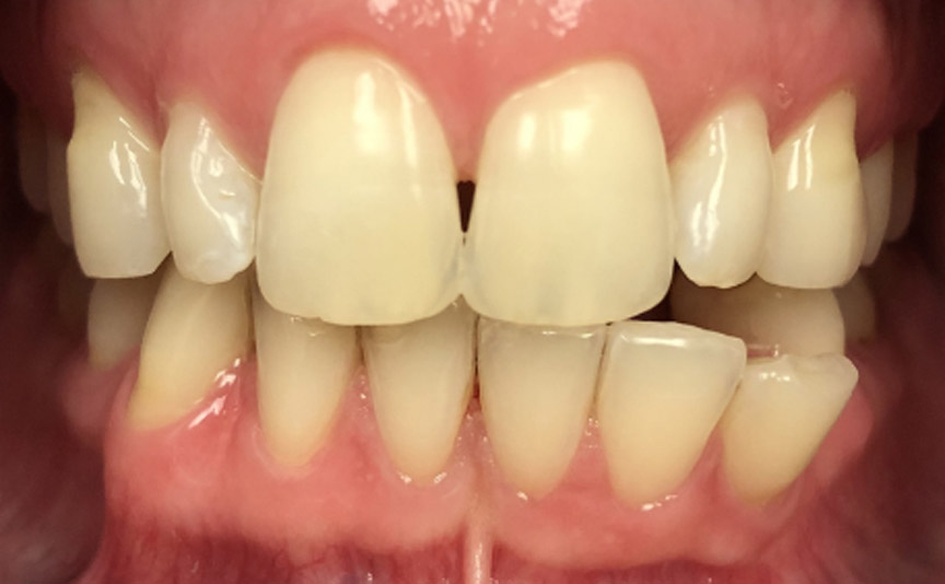
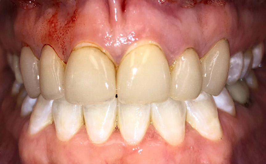
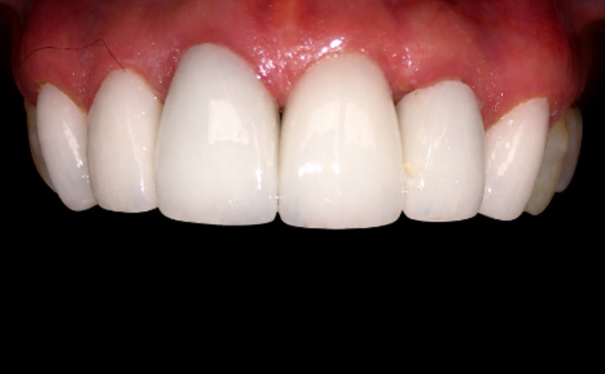
Before
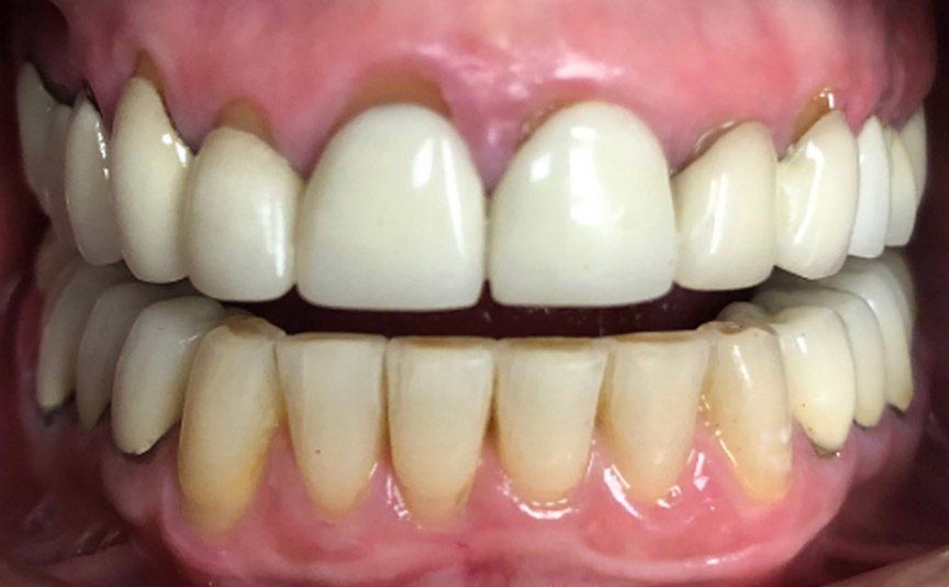
After
Our patient came in with failing composites and uneven coloring. A combinaion of bleaching and crowns were achieved to give her a natural and beautiful smile
-
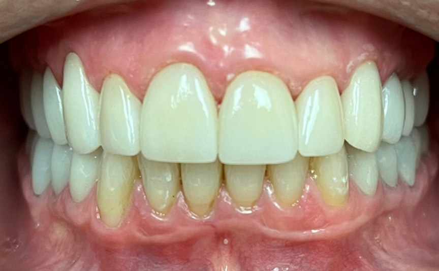
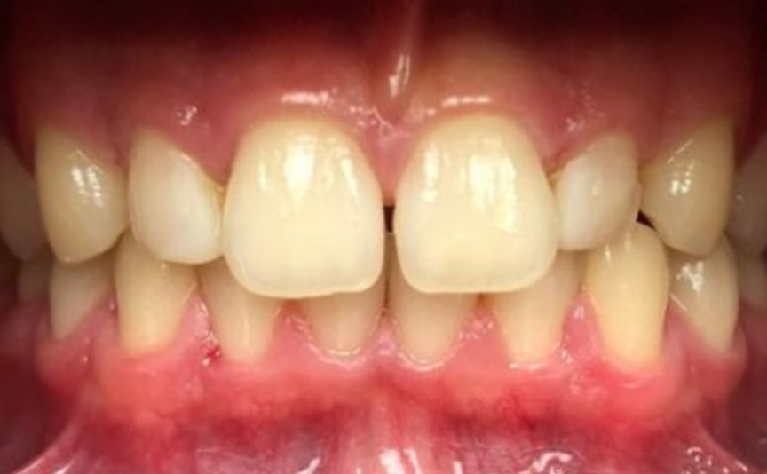
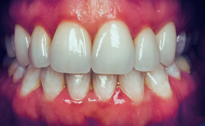
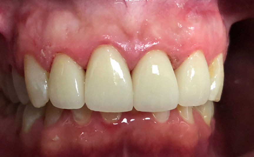
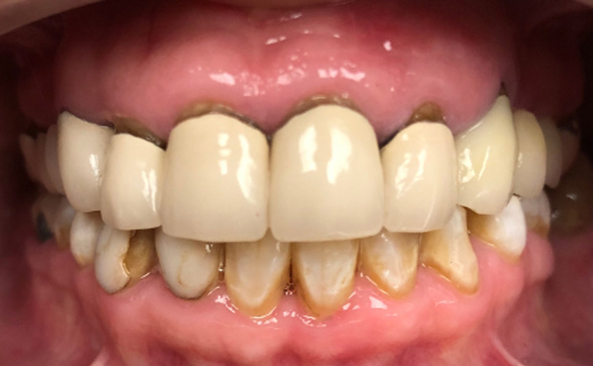
Before
After
Our patient had failing crowns and fillings. Crowns and veneers were achieved to give her a smile she was proud of.
-
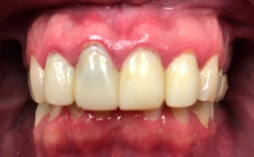
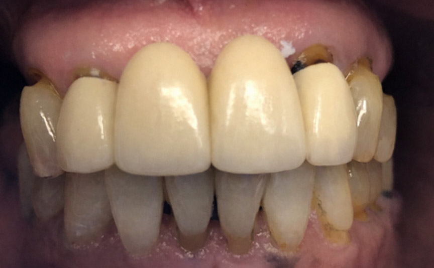
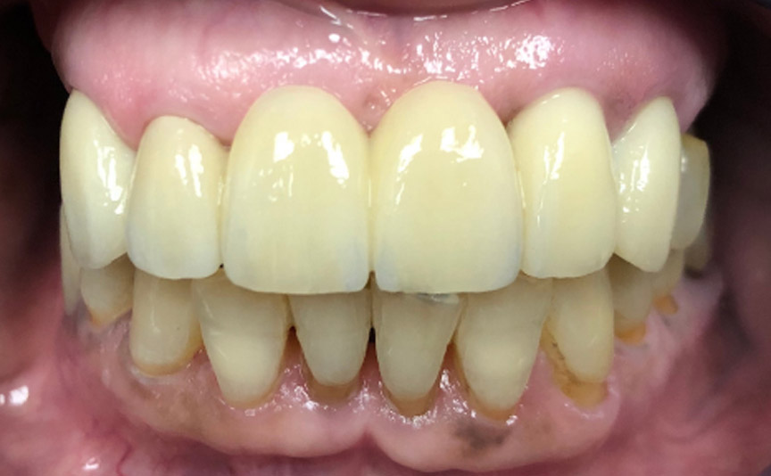
Before
After
Our patient did not like the metal showing through from her old procelain fused to metal crowns. We restored her smile with full porcelain crowns.
-
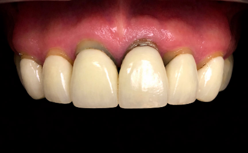
Before
After
Our patient wanted fix his bulky crowns and dark unnatural shade. A combination of bleaching and crowns achieved a natural smile.
-
Before
After
Our patient did not like the recession and grey margins showing from his crowns. We covered the rescession and black triangles and brightened his smile.
-
Before
After
Our patient presented with a collapsed bite. We lengthened his teeth and brightened his smile. He looks over 10 years younger.
-
Before
After
Our patient hated his worn chipped teeth and made him look old. We gave him a brighter more youthful smile.
-
Before
After
Our patient had old dull asymmetrical composites in her front 2 teeth. A combination of whitening and veneers made her very happy.
-
Before
After
One of our patients tooth was turning gray due to trauma. We bleached it and matched it with veneers.
-
Before
After
Our patient had a midline space and small laterals. We achieved the ideal smile with a combination of invisalign, bleaching and veneers.
-
Before
After
Invisalign closed this patients spacing nicely. He also lost the weight he wanted since he couldn’t snack with them on. A win win.
-
Before
After
Our patient was very unhappy with the shifting of her lower teeth. Invisalign corrected the malocclussion and gave her beautiful functional smile back.
